临床儿科杂志 ›› 2026, Vol. 44 ›› Issue (4): 331-336.doi: 10.12372/jcp.2026.25e0487

• 论著 • 上一篇    下一篇

TRIT1相关联合氧化磷酸化缺陷症35型3例报告

刘慧, 孙莹莹, 刘淼, 张君, 王营, 张文乾, 冯明彩, 刘晓珂, 王媛, 马燕丽()   

  1. 郑州大学附属儿童医院 河南省儿童医院郑州儿童医院神经内科(河南郑州 450000)
  • 收稿日期:2025-05-06 录用日期:2026-02-12 出版日期:2026-04-15 发布日期:2026-03-31
  • 通讯作者: 马燕丽 电子信箱:dryanli_19972023@163.com
  • 基金资助:
    河南省医学科技攻关计划联合共建项目(LHGJ20230584)

TRIT1-associated combined oxidative phosphorylation deficiency type 35: a report of 3 cases

LIU Hui, SUN Yingying, LIU Miao, ZHANG Jun, WANG Ying, ZHANG Wenqian, FENG Mingcai, LIU Xiaoke, WANG Yuan, MA Yanli()   

  1. Department of Neurology, Zhengzhou Children's Hospital, Affiliated Children's Hospital of Zhengzhou University, Zhengzhou 450000, Henan, China
  • Received:2025-05-06 Accepted:2026-02-12 Published:2026-04-15 Online:2026-03-31

摘要:

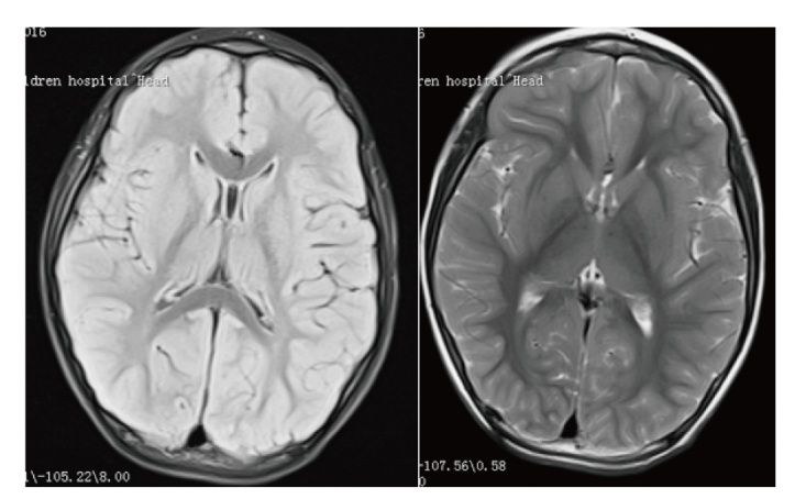
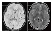
目的 探讨TRIT1基因变异导致联合氧化磷酸化缺陷症35型(COXPD35)患儿的临床特征,从而提高临床医师对于此疾病的认识。方法 回顾性收集3例TRIT1复合杂合变异所致COXPD35患儿,总结其临床资料、辅助检查、基因检测结果、诊治过程,并进行相关的文献复习。结果 3例TRIT1所致COXPD35型患儿均为男性儿童,起病年龄从5月龄到2岁3个月,均以热性惊厥起病,以后逐渐出现肌阵挛发作,并发展为难治性癫痫。3例患儿均存在小头畸形、智力障碍和锥体束征,血液乳酸水平无明显增高。3例患儿共发现3个基因变异位点,其中c.172-2A>T和c.741G>A既往文献未报道。结论 TRIT1所致COXPD35往往以热惊厥起病,之后出现多种发作类型,肌阵挛发作为主且不易控制。患者婴儿期可能发育里程碑正常,癫痫发作后开始出现精神发育倒退,小头畸形和锥体束征常见,乳酸往往不升高。

关键词: TRIT1, 氧化磷酸化, 线粒体, 癫痫, 儿童

Abstract:

Objective To investigate the clinical characteristics of patients with combined oxidative phosphorylation deficiency type 35(COXPD35) caused by TRIT1 gene mutations, in order to enhance clinicians' understanding of this disease. Methods A retrospective analysis was conducted on three patients diagnosed with COXPD35 resulting from compound heterozygous variants in the TRIT1 gene. Clinical data, auxiliary examinations results, genetic findings, and diagnostic courses were summarized and reviewed alongside relevant literature. Results All three patients were male children, with onset ages ranging from 5 months to 2 years and 3 months. They all presented initially with febrile seizures, which were later followed by myoclonic seizures and eventually progressed to refractory epilepsy. Common clinical features included microcephaly, intellectual disability, and pyramidal tract signs. Blood lactate levels were not significantly elevated. Genetic testing identified three TRIT1 mutation sites, among which c.172-2A>T and c.741G>A have not been previously reported in the literature. Conclusions COXPD35 caused by TRIT1 mutations typically begins with febrile seizures, followed by various seizure types, predominantly difficult-to-control myoclonic seizures. Patients may achieve normal developmental milestones during infancy, but experience psychomotor regression after seizure onset. Microcephaly and pyramidal tract signs are common, while lactate levels often remain normal.

Key words: TRIT1 gene, oxidative phosphorylation, mitochondria, epilepsy, child

中图分类号: 

  • R72