| [1] |
中华人民共和国国家健康委员会, 国家中医药局. 儿童社区获得性肺炎诊疗规范(2019年版)[J]. 中华临床感染病杂志, 2019, 12(1): 6-13.
|
|
National Health Commission of the People's Republic of China, State Administration of Traditional Chinese Medicine. Guideline for diagnosis and treatment of community-acquired pneumonia in children (2019 version)[J]. Zhonghua Linchuang Ganranbing Zazhi, 2019, 12(1): 6-13.
|
| [2] |
Gerna G, Piralla A, Rovida F, et al. Correlation of rhinovirus load in the respiratory tract and clinical symptoms in hospitalized immunocompetent and immunocompromised patients[J]. J Med Virol, 2009, 81(8): 1498-1507.
doi: 10.1002/jmv.21548
pmid: 19551831
|
| [3] |
Allander T, Tammi MT, Eriksson M, et al. Cloning of a human parvovirus by molecular screening of respiratory tract samples[J]. Proc Natl Acad Sci USA, 2005, 102(36): 12891-12896.
doi: 10.1073/pnas.0504666102
pmid: 16118271
|
| [4] |
Schildgen O, Müller A, Allander T, et al. Human bocavirus: passenger or pathogen in acute respiratory tract infections?[J]. Clin Microbiol Rev, 2008, 21(2): 291-304.
doi: 10.1128/CMR.00030-07
pmid: 18400798
|
| [5] |
Christensen A, Nordbø SA, Krokstad S, et al. Human bocavirus in children: mono-detection, high viral load and viraemia are associated with respiratory tract infection[J]. J Clin Virol, 2010, 49(3): 158-162.
doi: 10.1016/j.jcv.2010.07.016
pmid: 20833582
|
| [6] |
Jartti T, Hedman K, Jartti L, et al. Human bocavirus-the first 5 years[J]. Rev Med Virol, 2012, 22(1): 46-64.
doi: 10.1002/rmv.720
pmid: 22038931
|
| [7] |
Tan J, Huang Z, Tang W, et al. Human bocavirus-1 infection in hospitalized pediatric patients with acute respiratory tract infections[J]. Microbiol Spectr, 2025, 13(4): e0298524.
|
| [8] |
刘霜君, 霍枫, 刘珺, 等. 需机械通气的儿童重症博卡病毒肺炎十例临床分析[J]. 中国小儿急救医学, 2024, 31(6): 449-454.
|
|
Liu SJ, Huo F, Liu J, et al. Retrospective analysis of ten patients with severe human Boca virus pneumonia required mechanical ventilation[J]. Zhongguo Xiaoer Jijiu Yixue, 2024, 31(6): 449-454.
|
| [9] |
陆秋蒙, 李莉. 博卡病毒感染引起塑形性支气管炎5例临床分析[J]. 中国医师杂志, 2022, 24(4): 613-615.
|
|
Lu QM, Li L. Clinical analysis of 5 cases of plastic bronchitis caused by Bocavirus infection[J]. Zhongguo Yishi Zazhi, 2022, 24(4): 613-615.
|
| [10] |
翟宇, 段素霞, 贾凡平, 等. 儿童呼吸道博卡病毒感染流行特征分析: 一项单中心回顾性研究[J]. 临床儿科杂志, 2025, 43(3): 184-190.
|
|
Zhai Y, Duan SX, Jia FP, et al. Analysis of epidemiological characteristics of respiratory tract Bocavirus infection in children: a single-center retrospective study[J]. Linchuang Erke Zazhi, 2025, 43(3): 184-190.
|
| [11] |
An TJ, Lee J, Shin M, et al. Seasonality of common respiratory viruses: analysis of nationwide time-series data[J]. Respirology, 2024, 29(11): 985-993.
doi: 10.1111/resp.14818
pmid: 39134468
|
| [12] |
Sun Y, Jiang L, Chen Y, et al. Prevalence and molecular characterization of human bocavirus-1 in children and adults with influenza-like illness from Kunming, Southwest China[J]. Microbiol Spectr, 2025, 13(1): e0156424.
|
| [13] |
高微微, 翟嘉, 郭永盛, 等. 11例儿童腺病毒肺炎合并塑型性支气管炎特征分析[J]. 临床儿科杂志, 2024, 42(6): 509-514.
|
|
Gao WW, Zhai J, Guo YS, et al. Clinical features of adenovirus pneumonia complicated with plastic bronchitis in 11 children[J]. Linchuang Erke Zazhi, 2024, 42(6): 509-514.
|
| [14] |
张蕾, 闫智慧, 王亚坤, 等. 儿童甲型H1N1流感合并塑型性支气管炎4例临床分析[J]. 浙江医学, 2022, 44(10): 1114-1115.
|
|
Zhang L, Yan ZH, Wang YK, et al. Clinical analysis of 4 pediatric cases of Influenza A (H1N1) complicated with plastic bronchitis[J]. Zhejiang Yixue, 2022, 44(10): 1114-1115.
|
| [15] |
Wang W, Guan R, Liu Z, et al. Epidemiologic and clinical characteristics of human bocavirus infection in children hospitalized for acute respiratory tract infection in Qingdao, China[J]. Front Microbiol, 2022, 13: 935688.
|
| [16] |
Seyrek BE, Aykac K, Temizel İS, et al. Bocavirus infection as a potential trigger for hepatic injury in children[J]. J Viral Hepat, 2025, 32(3): e70013.
|
| [17] |
Vallet C, Pons-Catalano C, Mandelcwajg A, et al. Human bocavirus: a cause of severe asthma exacerbation in children[J]. J Pediatr, 2009, 155(2): 286-288.
|
| [18] |
Del Rosal T, García-García ML, Calvo C, et al. Recurrent wheezing and asthma after bocavirus bronchiolitis[J]. Allergol Immunopathol (Madr), 2016, 44(5): 410-414.
|
| [19] |
Yabushita H, Otake S, Iida S, et al. Plastic bronchitis of human Bocavirus 1 detected by comprehensive polymerase chain reaction of mucus casts[J]. Jpn J Infect Dis, 2023, 76(2): 155-158.
|
| [20] |
Fei-Zhou Z, Mei-Xia H, Xiaofen T, et al. Plastic bronchitis associated with human bocavirus 1 infection in children[J]. Pediatr Pulmonol, 2024, 59(11): 2754-2760.
|
| [21] |
Zhang X, Zhao J. Plastic bronchitis linked to human bocavirus 1 identified through high-throughput next-generation sequencing: a case report[J]. Medicine (Baltimore), 2024, 103(36): e39361.
|
| [22] |
Chiang SR, Lin CY, Chen DY, et al. The effects of human parvovirus VP1 unique region in a mouse model of allergic asthma[J]. PLoS One, 2019, 14(5): e0216799.
|
| [23] |
Fukuchi M, Miyabe Y, Furutani C, et al. How to detect eosinophil ETosis (EETosis) and extracellular traps[J]. Allergol Int, 2021, 70(1): 19-29.
doi: 10.1016/j.alit.2020.10.002
pmid: 33189567
|
| [24] |
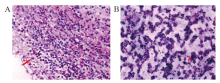
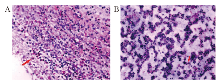
Yoshida M, Miyahara Y, Orimo K, et al. Eosinophil extracellular traps in the casts of plastic bronchitis associated with influenza virus infection[J]. Chest, 2021, 160(3): 854-857.
|